ワイヤー矯正
ワイヤー矯正とは
ワイヤー矯正とは、「矯正」と聞いて一般的にイメージされる、ブラケットを使用した治療方法です。歯にワイヤーを通すことのできる装置(ブラケット)を装着し、ワイヤーをそこに通して少しずつ歯を移動させていきます。矯正治療の中には治せる症例が限られてくる治療もありますが、ワイヤー矯正は、ほとんどの不正咬合に対応可能な矯正装置です。

ワイヤー矯正のメリット
- 前歯のでこぼこが早い段階で治る
インビザラインと比較して早い段階で前歯のでこぼこが治ってくるため、ブライダルや早めに前歯を治したい方は向いている。 - あらゆる症例に対応することが可能
ワイヤー矯正は、大きく乱れた歯並びなどにも問題なく治療を行えます。 - 金属アレルギーの心配が無い装置も選択可能
金属アレルギーをお持ちの方でも、治療ができるワイヤー等がございます。金属アレルギーをお持ちの方はドクターにお申し出ください。
ワイヤー矯正のデメリット
- 口の中に異物感を感じる
ワイヤーやブラケットと呼ばれる固定装置を装着するため、異物感を強く感じる場合もあります。 - 話しづらくなる
舌側(裏側)の装置だと舌に干渉するため、話しづらくなります。 - 口内環境に影響がある
口内炎ができやすく唇が切れやすい、舌が傷つきやすくなります。
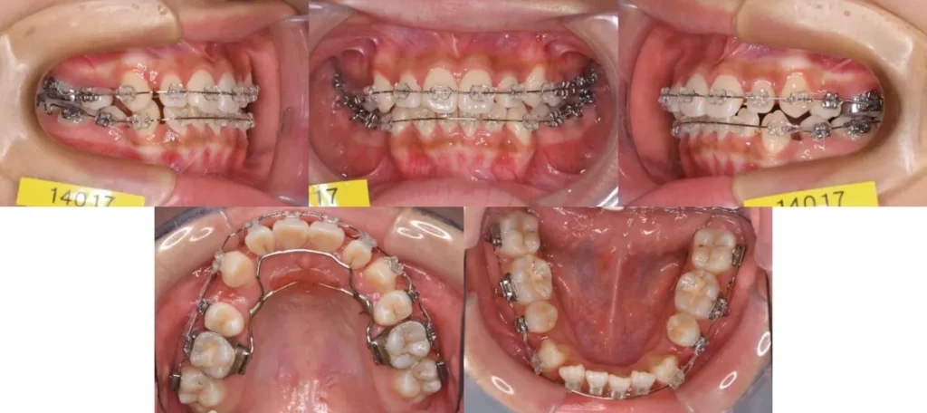
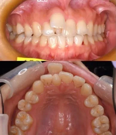
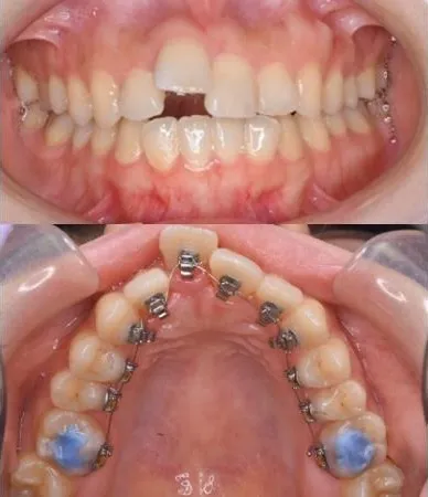
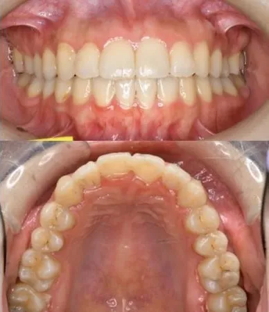
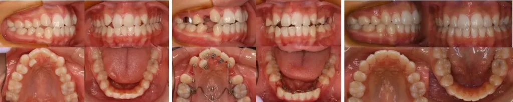
治療症例
ワイヤー矯正
施術前

施術中

施術後

裏側矯正
治療前

治療中

治療後


診療の流れ
STEP
カウンセリング
初回は、患者様のお口を診察した後、悩みや希望をお聞かせいただき、当院での矯正治療計画のご説明(治療内容・期間・費用)を致します。
※予約する際のお願い:矯正認定医によるご相談の日は限られているので、ネット受付では、ご対応出来かねます。詳しくはクリニックに直接お電話ください。

STEP
口腔内の精密検査
個々の患者様に最適な治療計画を立てるために、お顔のレントゲン撮影・お口の写真・歯の模型・顎関節検査・う蝕や歯周疾患の検査等を行います。

STEP
診断
精密検査後、検査結果をお伝えしますので数週間後にご来院ください。患者様に一番適した治療方法をご説明致します。治療方法や期間、治療費のお支払方法など、あらゆる面で納得して矯正治療を受けていただけるよう、ご説明させていただきます。

STEP
口腔内清掃・ブラッシング指導
矯正治療を開始する前に、虫歯や歯肉炎その他の歯周疾患にならないよう、歯磨き指導及び口腔内清掃を受けていただきます。

STEP
装置装着
装置装着にかかる時間は約40分〜1時間ほどです(初回・2回目の治療時間)。治療装置は患者様一人ひとりにあったものを使用します。

STEP
定期的な治療
治療期間は患者様の顔の骨格や症状により大きく異なります。またこの間、原則的に1ヶ月に1回の間隔で通院していただきます。その後、ドクターの判断で治療終了となります。

