審美歯科
歯の持つ本来の美しさへ
口元を美しく揃える事を目指した治療を審美歯科と呼びます。見た目の美しさは歯並びや歯の白さなどが挙げられますが、ここでは歯に入れる白い補綴物の事を指しています。

クラウンの種類(保険適用外)
クラウンは、虫歯の治療等で歯を削った後に被せる人工の歯のことです。クラウンの材料は様々な種類があり、保険診療の場合は部位によって使用できる材料が決まっています。自由診療の場合は保険適用外の材料を使用できることで、より審美的に優れた素材を選択する事が可能です。
スクロールできます
| 見た目 | 特徴 |
|---|---|
オールセラミック セラミック(陶器)でできたクラウンです。 | メリット ・虫歯、歯周病になりにくい ・自然な仕上がり ・変色しない ・アレルギーなし デメリット ・割れる可能性がある ・値段が高い |
ジルコニア 当院1番のオススメです! | メリット ・虫歯、歯周病になりにくい ・自然な仕上がり ・変色しない ・アレルギーなし ・強度が高い ・オールセラミックより値段が安い デメリット ・銀歯やメタルボンドより値段が高い |
メタルボンド![]() 中身を金属で作り、 外側にセラミックを張り付けたクラウンです。 | メリット ・強度が高い ・自然な仕上がり ・変色しない デメリット ・裏から見ると金属が見える ・金属アレルギーあり ・金属が溶けて歯茎が黒くなる ・セラミックに比べて虫歯、歯周病になりやすい |
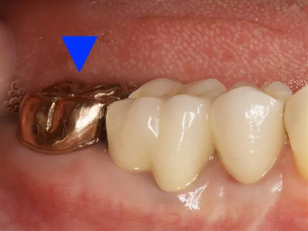
ゴールドクラウン![]() 金合金や白金加金などの貴金属で作られたクラウンです。 | メリット ・強度が高い ・むし歯になりにくい ・摩耗率が歯に近い デメリット ・金属部分が目立つ |
クラウンの種類(保険適用)
スクロールできます
| 見た目 | 特徴 |
|---|---|
硬質レジン前装冠 中身を金属で作り、見える部分にレジンを張り付けたクラウンです。 | メリット ・自然な仕上がり ・強度が高い ・保険適用(前歯~犬歯のみ) デメリット ・変色することがある ・金属アレルギーあり ・裏から金属が見える |
インレーの種類(保険適用外)
スクロールできます
| 見た目 | 特徴 |
|---|---|
セラミックインレー![]() 陶材(セラミック)でできています。 | メリット ・審美性が高い ・ほとんど変色しない ・接着力や耐久性に優れている ・メタルフリー デメリット ・保険外治療 |
インレーの種類(保険適用)
スクロールできます
| 見た目 | 特徴 |
|---|---|
メタルインレー![]() 金・銀・銅・パラジウム等からなる合金です。 | メリット ・天然歯よりも硬く丈夫 ・保険適用 デメリット ・銀色で審美性が低い ・金属アレルギーの原因になることがある ・長年使用することによりセメントが劣化する ・隙間からむし歯になる |








